
DOME zero is a coordinated treatment system and protocol for airway-focused dentists and orthodontists. It helps clinicians plan and deliver adult treatment for patients who need to breathe better, sleep better, look better, and feel better.
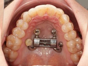
DOME zero consists of a micro-screw based simultaneous adult palatal expansion and clear aligner plan. The expansion and orthodontics are designed and planned to be done at the same time, rather than performed as separate or sequential treatments. All DOME zero cases are planned by an airway orthodontist.
By expanding the maxilla while aligning the teeth at the same time, DOME zero creates a larger palate, larger nasal airway, larger tongue space, and a comfortable, stable, and esthetic bite and smile.
DOME zero is not a generic laboratory appliance. It is a coordinated product, protocol and plan built specifically for adult airway cases where structure, function, and esthetics are of paramount importance.
Learn more at getdomezero.com and on social media (@DOME zero).
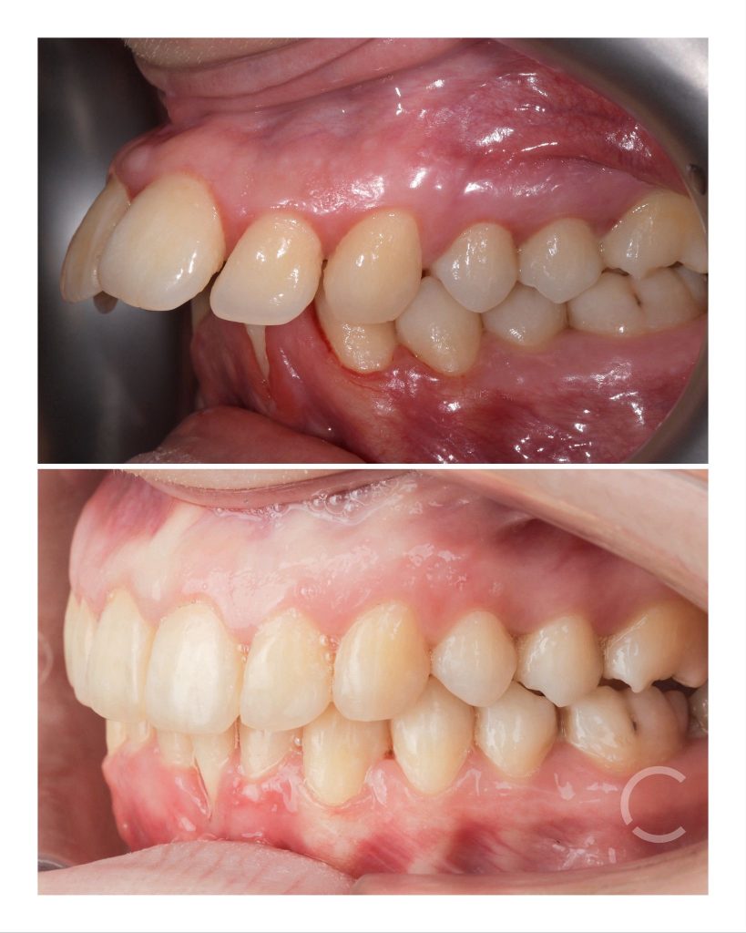
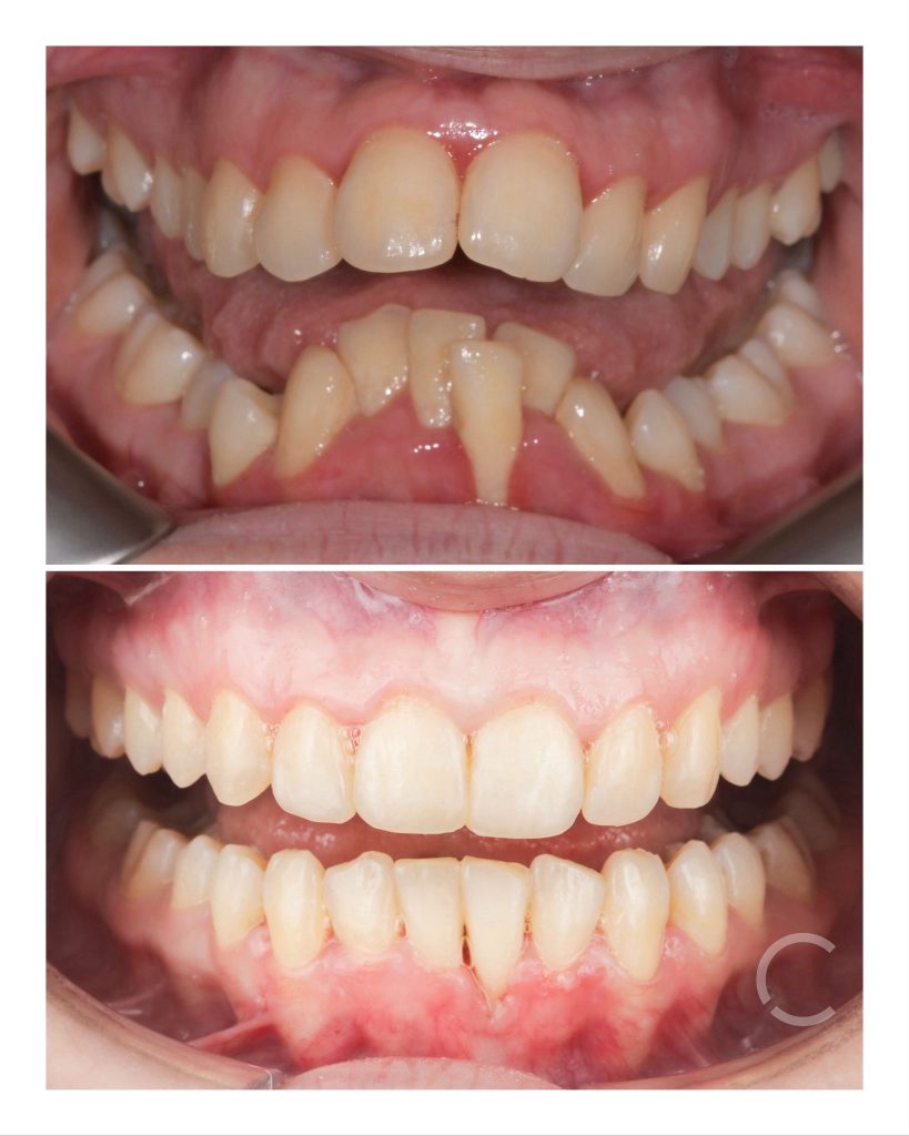
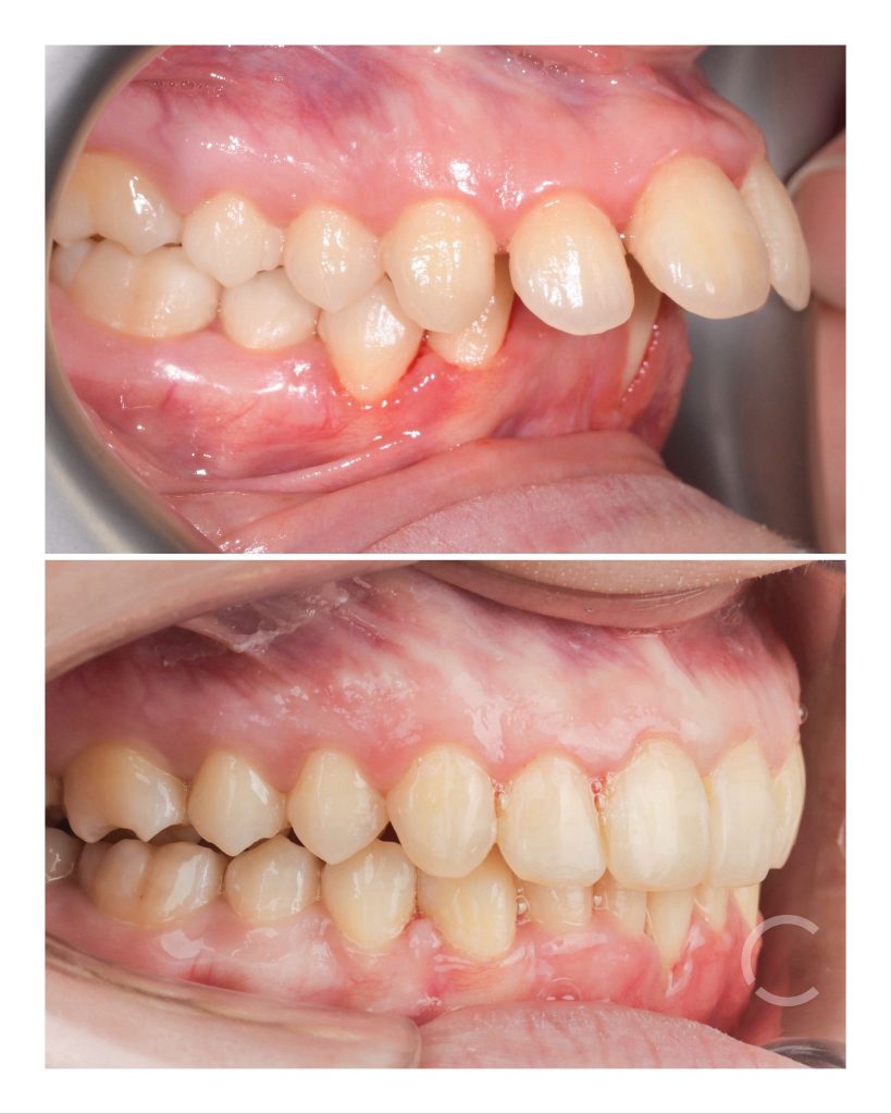
DOME Zero Before and After



